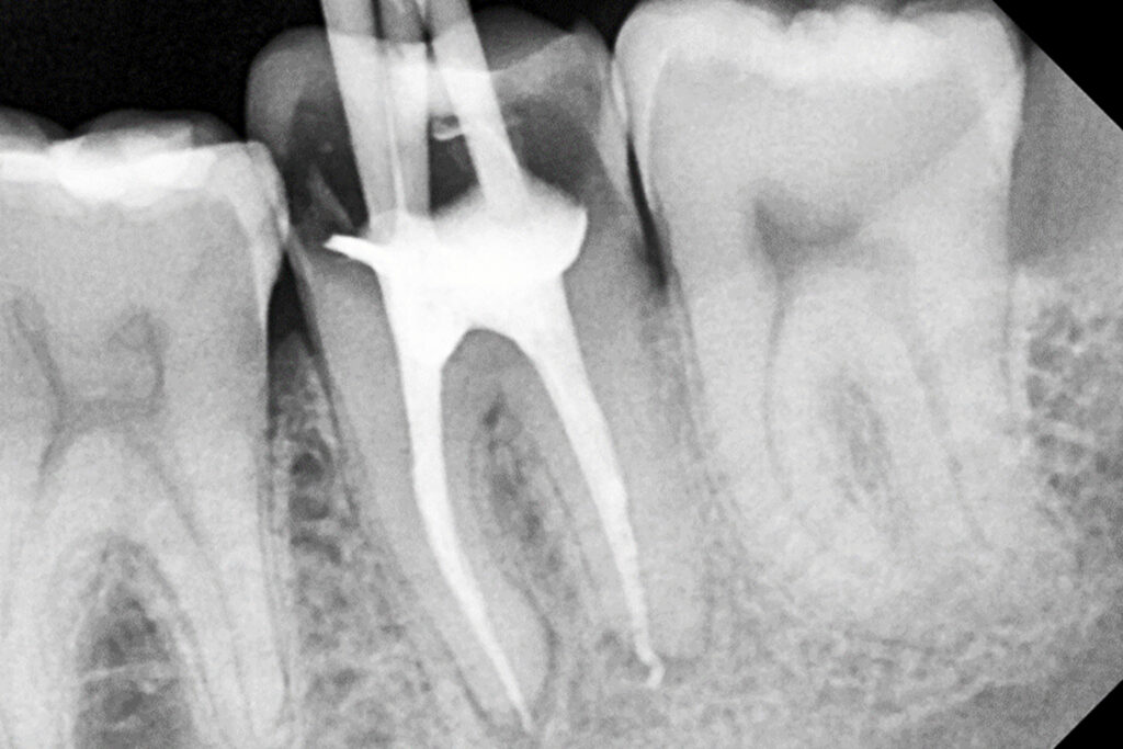
L’Endodòncia és el tractament dels conductes radiculars que cal realitzar quan la polpa dental (nervi) s’ha vist afectat (per càries profundes, traumatismes, fractures o quists, entre altres). Es tracta de localitzar, netejar i sellar els conductes radiculars, per posteriorment restaurar el teixit dental destruït i així poder conservar la dent i evitar-ne l’extracció.
Emfatitzem molt en la prevenció. És per això que recomanem revisions periòdiques o acudir al dentista al mínim símptoma, perquè una actuació a temps és bàsica si es volen evitar les temudes visites d’urgència amb dolor o infecció dental.
Evitarem la pèrdua dental i així conservar el teu somriure!
L’experiència ens ha demostrat que l’endodòncia és un tractament amb un alt índex d’èxit (entre el 85% i el 95%) que permet mantenir l’estructura dental en boca. No et deixis enganyar, la solució no sempre és l’extracció i col·locació d’implants.
A la nostra clínica apliquem tècniques d’endodòncia rotatòria, amb localitzadors d’àpex, radiografies digitals i materials d’última generació per tal de poder proporcionar un resultat efectiu dels nostres tractaments a llarg termini.


