Vés al contingut
93 796 15 19info@clinicadentalvilaret.com
  • CAT
  • ESP
  • Inici
  • Qui Som
    • Història
    • Instal·lacions
    • Equip
  • Tractaments
    • Odontologia Conservadora
    • Higiene Bucodental
    • Periodòncia
    • Odontopediatria
    • Endodòncia
    • Bruxisme
    • Ortodòncia Convencional
    • Ortodòncia Invisible
    • Pròtesis
    • Estètica Dental
    • Blanquejament Dental
    • Cirurgia Bucal
    • Implantologia Avançada
    • Sedació
  • Notícies
  • Contacte
Demana Cita
Demana Cita
  • Inici
  • Qui Som
    • Història
    • Instal·lacions
    • Equip
  • Tractaments
    • Odontologia Conservadora
    • Higiene Bucodental
    • Periodòncia
    • Odontopediatria
    • Endodòncia
    • Bruxisme
    • Ortodòncia Convencional
    • Ortodòncia Invisible
    • Pròtesis
    • Estètica Dental
    • Blanquejament Dental
    • Cirurgia Bucal
    • Implantologia Avançada
    • Sedació
  • Notícies
  • Contacte
  • CAT
  • ESP

Casos Reals

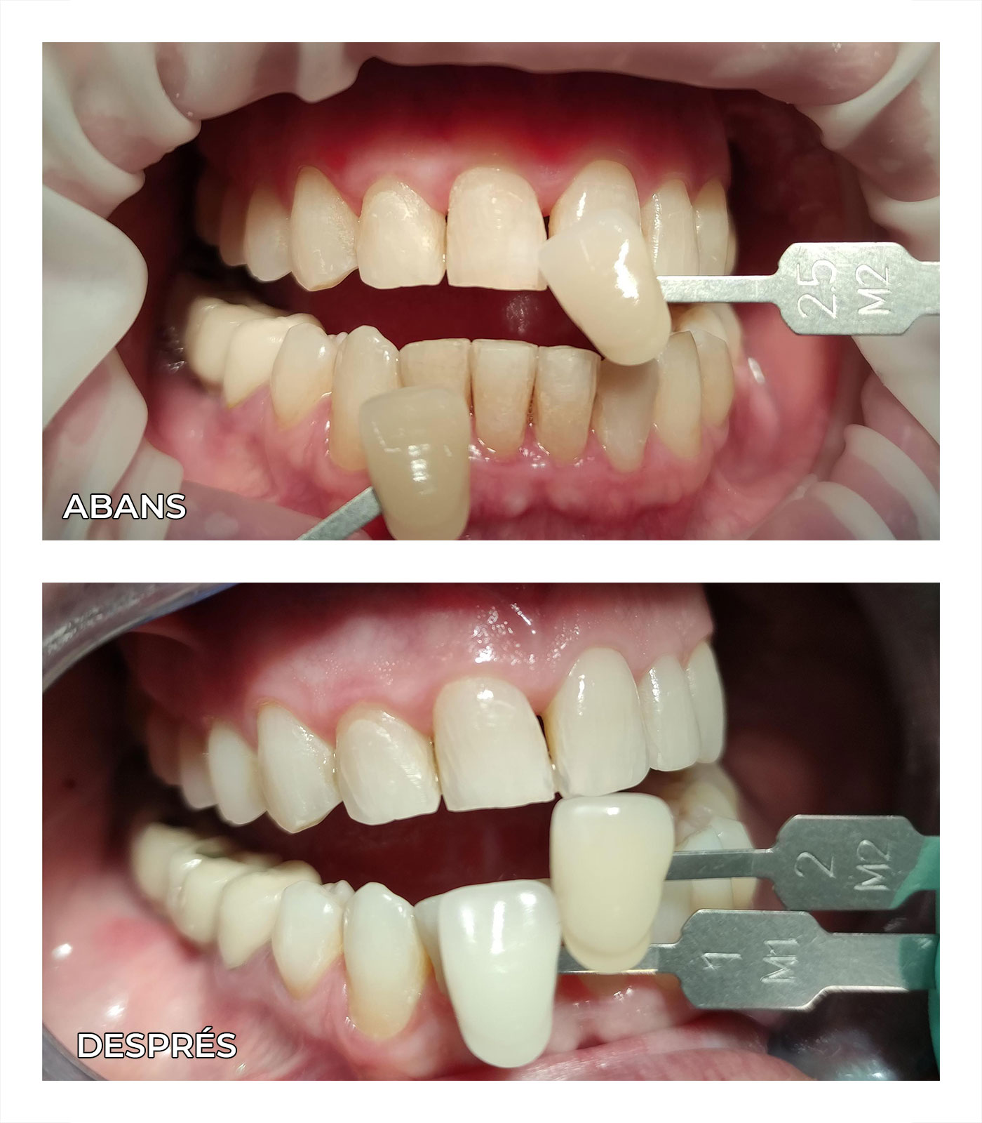
Carilles de Ceràmica
17-carilla-ceramica-ca
1-carilla-ceramica-ca
2-carilla-ceramica-ca
3-carilla-ceramica-ca
Carilles de Composite Estètic
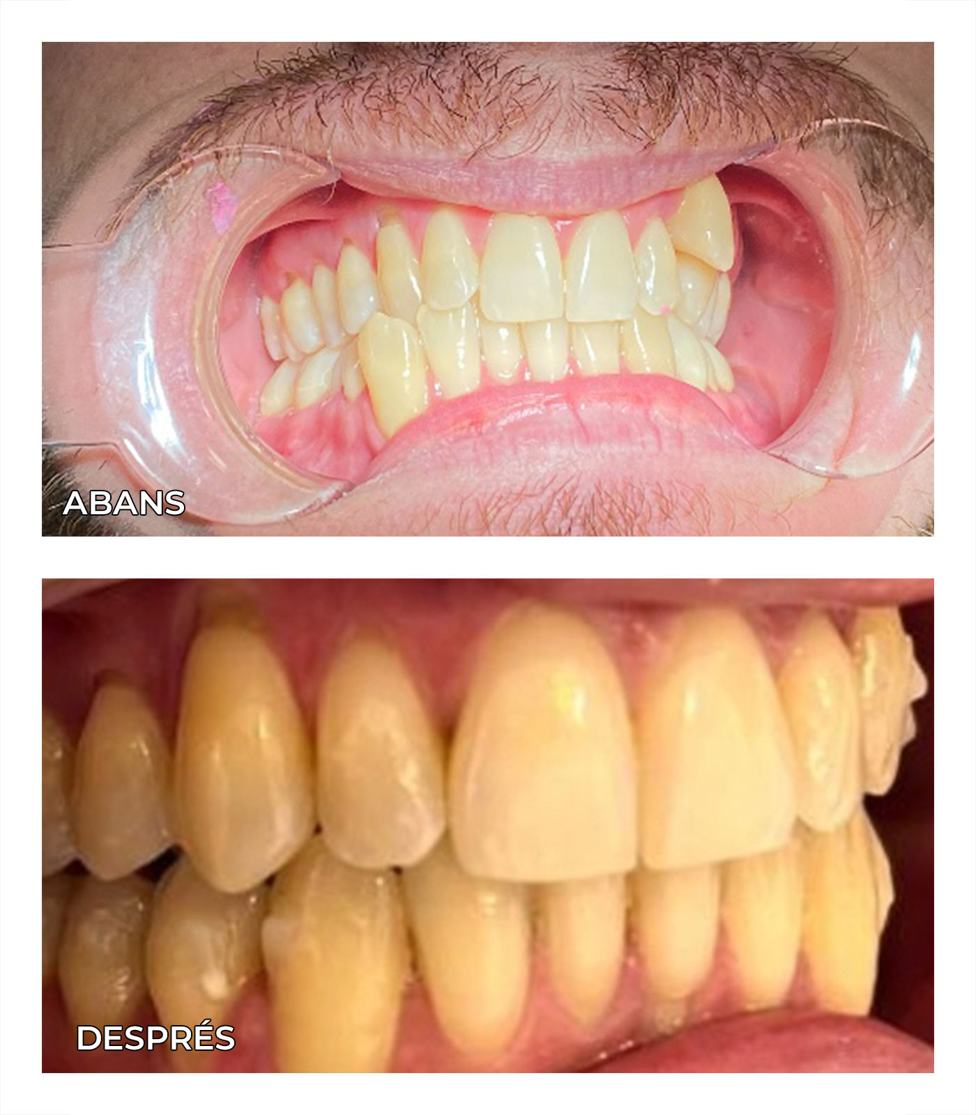
Corones en Bruxisme
6.2-corones-fixes-bruxista-ca
Corones de Ceràmica sense metall
7.1-coronas-zirconio-ca
8.1-coronas-zirconio-ca
Corones sobre implants
Pròtesis fixe Híbrida sobre implants
Pròtesis removible sobre implants
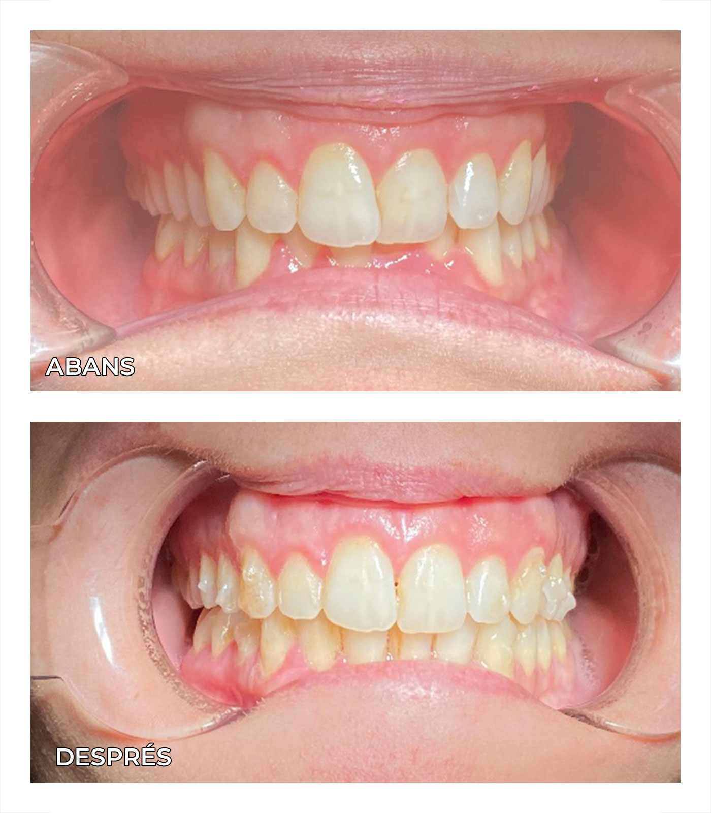
Ortodòncia invisible
12-ortodoncia-invisible-ca
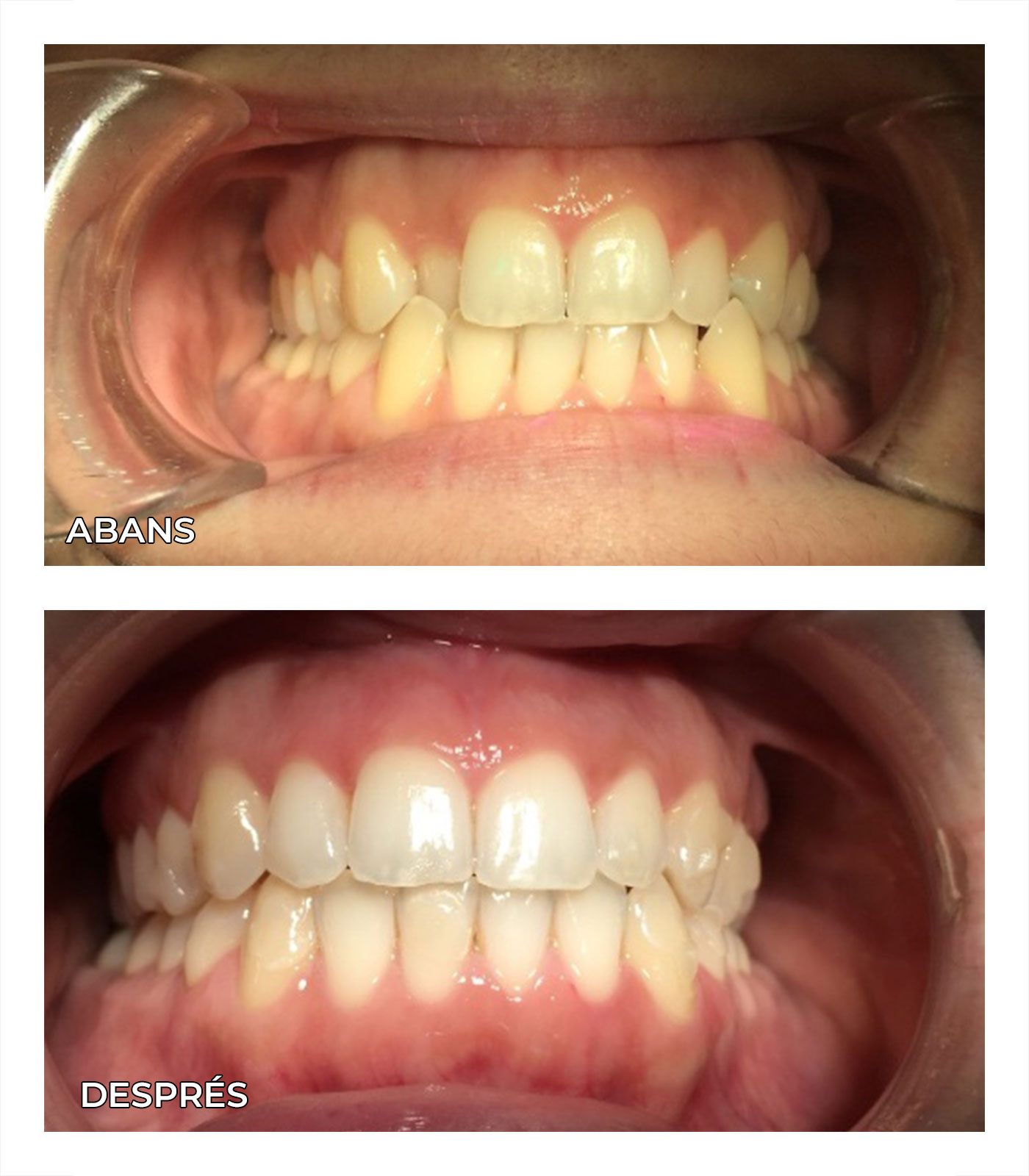
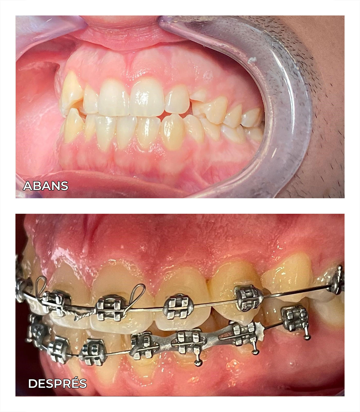
13.1-ortodoncia-brakets-ca
Ortodòncia amb brackets
Ortodòncia precoç
Blanquejament
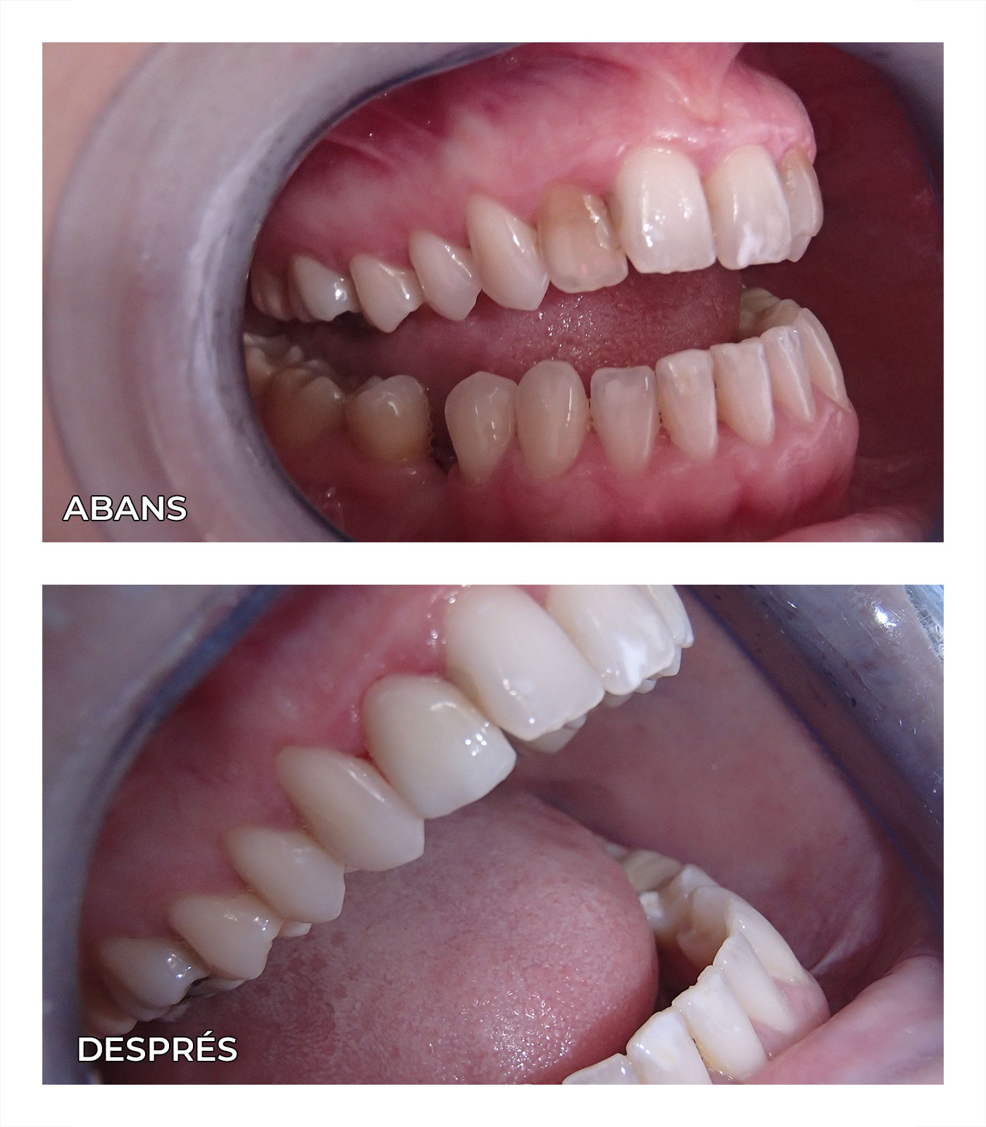
Tancament de triangles negres interdentals

Ens caracteritzem pel nostre tracte proper i transparent en les nostres explicacions.

No dubtis a Consultar-nos!

CONTACTAR

Clínica Dental situada al bell mig de Mataró des de 1985. Tractaments d’Odontologia Conservadora, Pròtesis, Periodòncia, Endodòncia, Implantologia, Cirurgies regeneratives, Estètica, Ortodòncia (per a nens, convencional i invisible), Blanquejaments, entre altres.

Serveis

  • Odontologia Conservadora
  • Higiene Bucodental
  • Periodòncia
  • Odontopediatria
  • Endodòncia
  • Bruxisme
  • Ortodòncia Convencional
  • Ortodòncia Invisible
  • Pròtesis
  • Estètica Dental
  • Blanquejament Dental
  • Cirurgia Bucal
  • Implantologia Avançada
  • Sedació Conscient

Ajuda

  • Avís legal
  • Política de privadesa
  • Política de cookies
  • Declaració d’Accessibilitat
  • Mapa del lloc

Copyright © 2026 Clinica Dental Vilaret Tolrà. Dissenyat per D&D Serveis

Logotip de Finançat per la Unió Europea i Logotip de Pla de Recuperació Transformació i Resiliència

Gestionar consentiment
Per oferir-vos les millors experiències, utilitzem tecnologies com les cookies per emmagatzemar i/o accedir a la informació del dispositiu. El consentiment d'aquestes tecnologies ens permetrà processar dades com ara el comportament de navegació o les identificacions úniques en aquest lloc. No consentir o retirar el consentiment, pot afectar negativament certes característiques i funcions.
Funcional Sempre actiu
L'emmagatzematge o accés tècnic és estrictament necessari per al propòsit legítim de permetre l'ús d'un servei específic sol·licitat explícitament per l'abonat o usuari, o amb l'únic propòsit de dur a terme la transmissió d'una comunicació a través d'una xarxa de comunicacions electròniques .
Preferències
L'emmagatzematge o accés tècnic és necessari per a la finalitat legítima d'emmagatzemar preferències no sol·licitades per l'abonat o l'usuari.
Estadístiques
L'emmagatzematge o accés tècnic que és utilitzat exclusivament amb fins estadístiques. L'emmagatzematge o accés tècnic que s'utilitza exclusivament amb finalitats estadístiques anònimes. Sense un requeriment, el compliment voluntari per part del vostre proveïdor de serveis d'Internet, o els registres addicionals d'un tercer, la informació emmagatzemada o recuperada només per a aquest propòsit no es pot utilitzar per identificar-vos.
Marketing
L'emmagatzematge o accés tècnic és necessari per crear perfils d'usuari per enviar publicitat, o per rastrejar l'usuari en una web o en diverses webs amb fins de màrqueting similars.
  • Gestiona les opcions
  • Gestiona els serveis
  • Gestiona {vendor_count} proveïdors
  • Llegeix més sobre aquests propòsits
Veure preferències
  • {title}
  • {title}
  • {title}